Etusivu
Luetuimmat
Uusimmat
Valikko
UMK 2026
Artistit & biisit
Aikataulu & ohjelma
Televisiointi
Äänestys & säännöt
Euroviisut 2026
OMG!
Uutiset
Urheiluviihde
Rikokset
Tinderin Parhaat
Paljastukset
Ilotyttö paljastaa
Julkkikset
Helmi Loukasmäki
Kristian Heiskari
Sofia Belorf
Niko Ranta-Aho
Maisa Torppa
Erika Vikman
Stefan Therman
Anne Kukkohovi
Marika Fingerroos
Martina Aitolehti
Sauli Koskinen
Johanna Tukiainen
Samu Haber
Lifestyle
Parisuhteet
Terveys
Matkustus
Elokuvat
Musiikki
Videopelit
TV
Selviytyjät Suomi
Kristianin heimoneuvosto
Big Brother Suomi
Masked Singer Suomi
Temptation Island Suomi
Salatut elämät
Videot
Hauskat videot
Hurja maailma
Julkkisvideot
Pelaaminen
Kasinorakastaja
Rahapelit
Perusämmä
Blogit
Erika Helin
Riina-Maija Palander
Sofia Belórf
Hannele Lauri
Marika Fingerroos
Henna Kalinainen
Claudia Eve
Niina Kuhta
Jasmin Mäntylä
Maisa Torppa
Tomi Björck
Bile-Dani
Podcast
Kaikki artikkelit: ientulehdus
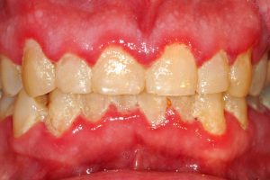
Onko sinullakin tällainen salakavala oireeton tulehdus? Suora yhteys vakaviin sairauksiin
28.05.2019
13:45
Syyllistytkö sinäkin tähän yleiseen virheeseen, jonka takia "suu on hyvin harvoin terve"?
11.12.2017
15:30
Mitä kehollesi tapahtuu, kun jätät hampaasi harjaamatta – 9 ikävää seurausta
22.10.2017
17:00
Yli puolet aikuisista sairastaa tätä tietämättään – "kun hampaat heiluvat, alkaa olla jo liian myöhäistä"
06.04.2017
14:15
Yli puolella suomalaisista muhii suussaan ientulehdus – näin vältät sen!
13.04.2015
07:30
Luetuimmat
Poliisiopiston seksikäs kaunotar hurmasi kaikki 80-luvulla – tältä hän näyttää nykyään
Sanna Marin teki yllättävän peliliikkeen – ”Kirjaimellisesti shokissa”
Uusi käänne Sanna Marinin asuntokuvioissa
Jennika Vikman avautuu Dannystä
Sara Sieppi paljastaa: Amazing Race -tuotanto joutui puuttumaan veljen alkoholinkäyttöön
Shokkikäänne: Käärijän kumppani jätti yhteisen kodin
Janni Hussi saa treffikutsuja 18-vuotiailta: ”Aion olla tosi avoin”
Uusimmat
Onko sinullakin tällainen salakavala oireeton tulehdus? Suora yhteys vakaviin sairauksiin
Syyllistytkö sinäkin tähän yleiseen virheeseen, jonka takia "suu on hyvin harvoin terve"?
Mitä kehollesi tapahtuu, kun jätät hampaasi harjaamatta – 9 ikävää seurausta
Yli puolet aikuisista sairastaa tätä tietämättään – "kun hampaat heiluvat, alkaa olla jo liian myöhäistä"
Yli puolella suomalaisista muhii suussaan ientulehdus – näin vältät sen!
Asenna appi
Metropoli.net
Sattuu ja tapahtuu
Asenna appi